There have been a few news reports about an apparent increased incidence of the fungal disease, blastomycosis, in dogs in Minnesota. Blastomycosis is an interesting disease with important “One Health” aspects. It’s caused by the fungus Blastomyces dermatitidis, that naturally lives in the soil in certain parts of the world. The risk is highly variable by region, being an important concern in some areas and a non-entity in others… and sometimes those are not too far apart, which can be a big concern for travellers.

Dogs, cats and people are among the many species that can get blastomycosis.  Infection can cause a wide range of problems from severe lung disease to skin disease. It’s actually not transmitted between infected individuals, but finding it an animal (or person) is still relevant to other species, because they’re all infected the same way: from the environment. Since dogs spend more time with their nose to the ground, they’re at greater risk of exposure compared to people. So, dogs can be useful sentinels for human risk. Having a dog with blasto doesn’t mean you’re at risk from the dog, but it means you might have been exposed from the same environmental source. Knowing that can be important, since it might speed up recognition of the disease if you get sick.

Back to the Minnesota situation. A news report indicated there have been 170 cases of blasto in Minnesota dogs. (Presumably that’s a marked under-estimation, since many dogs are likely infected but not tested, as with many diseases.) While year-to-year comparisons can be a bit dodgy, because things like increased awareness can bias the results, that’s a 50% increase from this time last year, and it’s already well above the record of 155 cases set in 2017. Also, unfortunately demonstrating what I described above, there’s another report from Minnesota talking about a man battling life-threatening blastomycosis, a year after his dog died of the disease.

The situation where I live here in Ontario is less clear. We know there are “hot spots” of blasto in the province. However, unlike in Minnesota, it’s not a reportable disease in animals here. So, there’s no easy way to capture data, compare case numbers year-to-year, identify trends and see if the affected areas are changing. Blastomycosis is now reportable in people in Ontario, but the lack of centralized dog data hampers our assessment of the risks and changes to those risks.

We’ve worked periodically to track blasto in animals, and hope to get back to that shortly with our soon-to-relaunch WormsAndGermsMap. It’s all based on voluntary data, so it has some limitations, but it’s better than nothing.

 

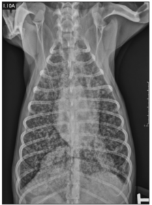
Image of thoracic radiograph of a dog with lungs heavily infected with blasto (from Weese and Evason, Infectious Diseases of the Dog and Cat, A Colour Handbook).